親知らずの抜歯

キービジュアル

親知らずの抜歯は、
安心・安全・短時間で
終わらせます

口腔外科医在籍の当院なら
親知らずの難しい症例にも対応可能です。
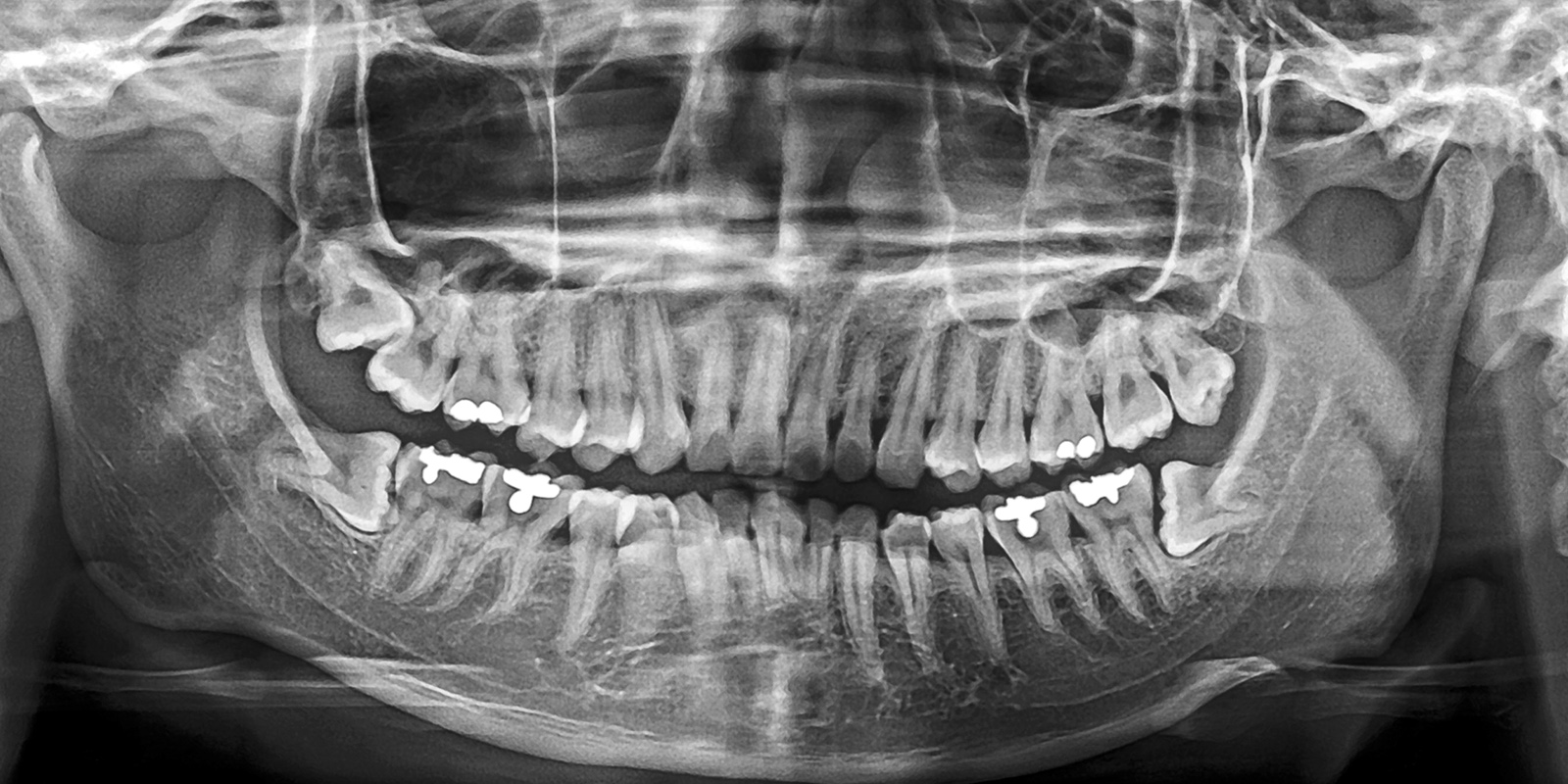
  • 診察に「CT」と「パノラマレントゲン」を活用
  • 抜歯後は「テルプラグ」で自然治癒を促す

安心・安全・短時間の抜歯を目指して

「親知らずが痛いけど、抜くのは怖い」
「親知らずが埋まっていると言われて不安」
そんな声をよく耳にします。

親知らずの抜歯は、その状態によって難易度が大きく異なります。特に、歯ぐきの中に埋まっている場合は「埋伏歯(まいふくし)」と呼ばれ、通常の抜歯よりも時間と技術を要します。

当院では、このような難しい親知らずの抜歯にも対応可能です。経験豊富な専門医が、痛みを最小限に抑え、短時間で安全に処置を行います。どうぞご安心ください。
※ケースによっては大学病院や口腔外科などを紹介する場合もあります

難しい親知らずの抜歯も、口腔外科医が対応

当院には口腔外科の専門医が在籍しており、神経に近い親知らず、歯ぐきに深く埋まっている親知らずの抜歯も行っています。難しい症例でも、安心してお任せください。

院長/歯科医師 横山朋子

院長/歯科医師 横山朋子

経歴

明海大学 歯学部 卒業
獨協歯科大学 大学院卒業 医学博士
獨協歯科大学 口腔外科勤務

資格・所属学会・団体

  • 口腔外科学科会所属
  • 医療法人社団メディコール理事

親知らずの抜歯症例「水平埋伏歯」

水平埋伏歯とは、横向きに生えている親知らずのことを指します。
このような歯は、手前の歯を圧迫して痛みを引き起こすほか、歯並びが乱れたり、虫歯や歯周病の原因となったりすることがあります。しかも、ほとんどが骨や神経に近い位置にあるため、抜歯には高度な技術が求められます。

水平埋伏歯の抜歯は、歯ぐきを切開してめくり上げ、歯の頭と骨の一部を削って分割しながら抜歯します。
当院では高い技術と豊富な経験で、安全かつ的確な対応が可能です。他院で抜歯を断られたケースでも、ぜひ一度ご相談ください。

親知らずの抜歯による「メリット」と「デメリット」

親知らずを抜くべきか、その判断は生え方が重要な基準といえます。

まっすぐに生えていない親知らずは、他の歯に悪影響を与える可能性や歯ブラシでみがきにくく虫歯になりやすいため、抜歯を推奨しています。
一方で「まっすぐに生えていて噛み合わせも正常」「完全に埋没している」といったケースは、抜歯をする必要はないと考えます。

将来的に別の歯を抜かなければならなくなったときに、親知らずを移植できる場合もあります。そして、抜歯にもリスクが伴いますので、当院では無理に抜歯をすすめることはありません。

メリット

  • 虫歯や歯周病のリスクが低減
  • 口臭を抑えることができる
  • 歯並びの悪化が避けられる

デメリット

  • 抜歯後に発熱や痛み、腫れが生じる
  • 抜歯した穴に食べかすが詰まりやすい
患者さんの生活習慣や口の中の状況によって、メリットとデメリットの大きさは異なります。まずは当院の歯科医師と相談して、慎重に判断しましょう。
※抜歯後のデメリットは通常1週間程度で治まります

親知らずの抜歯で、当院が選ばられる理由

親知らずの抜歯は「どこでも同じ」ではありません。技術と経験はもちろん、患者さんの負担や術後のリスクを最小限に抑えるための設備も大変重要です。

「CT(三次元立体画像)」で骨の状態を可視化

CT」では従来のレントゲン撮影による二次元画像とは違い、立体的な三次元画像を取得できます。
親知らずの周りには大切な血管や神経が複雑に絡み合っていますが、CTで撮った画像により、これらを可視化できるようになります。
抜歯の際に血管や神経を傷つけないために、治療前の正確な情報把握が重要です。

「パノラマレントゲン」で全体を把握

パノラマレントゲン」は、副鼻腔から顎まで、上下の歯を1枚の画像に収めることが可能な機器です。この画像で親知らずの位置や向き、そして周囲の歯との関係をひと目で確認できます。

特に下顎の親知らずは、下歯槽神経という大切な神経の近くに位置することが多く、抜歯による神経損傷のリスク評価が非常に重要です。パノラマ撮影による画像で、親知らずと神経との距離や重なり具合を事前に把握することが可能です。

「テルプラグ」で抜歯後の自然治癒を促進

テルプラグ」は、コラーゲンを主成分としたスポンジ状の素材です。歯を抜いた後の穴(抜歯窩)にやさしく詰めることで、傷の治癒をサポートします。

テルプラグの使用で血液がとどまりやすくなり、患部の自然な治癒を促します。また、抜歯後の痛みや出血を抑える効果も期待できます。

妊娠前に親知らずの治療を受けることの重要性

妊娠中の女性はホルモンバランスの変化により、親知らず周囲の歯ぐきが腫れたり、突然痛み出したりすることがあります。
しかし、歯科治療の際のレントゲン撮影や麻酔、内服薬の使用は、母体と胎児への負担を考えると、できるだけ避けるべきです。
そのため、妊娠後に親知らずの治療を急がなければならない状況を避けるために、妊娠を考える前に親知らずを抜くことを強くおすすめします。

親知らずQ&A

親知らずは抜くべきですか?
必ずしも抜く必要はありません。まっすぐに生えていて、他の歯に影響を及ぼさない場合はそのままで問題ないでしょう。しかし、多くの場合は歯列に悪影響を及ぼす可能性や虫歯、炎症などのリスクが高いため、抜歯がすすめられます。
抜歯のときに痛みはありますか?
抜歯には局所麻酔を使用するため、施術中の痛みはほとんど感じません。しかし、術後に多少の不快感があったり、腫れたりするがこともあります。これらは通常数日で治まりますが、心配な場合は歯科医院へご相談ください。
抜歯後に気をつけることはありますか?
抜歯後は安静に過ごし、強いうがい、飲酒や喫煙は避けてください。激しい運動や長時間の入浴などの血行をよくする行為も出血の原因になります。また、処方された薬は必ず服用し、回復期間中は柔らかい食事を心がけましょう。
片方の親知らずを抜いたら、もう片方も抜くべきですか?
親知らずは非対称でも問題ないため、必ずしも抜く必要はありません。もう片方の親知らずを診察し、問題があるようでしたら抜歯を提案します。
どんな親知らずでも抜いてもらえますか?
当院は親知らずの抜歯において豊富な経験と実績がありますので、ほとんどのケースに対応できます。ただし、糖尿病や心臓病をお持ちの場合や、血管や神経へのリスクが高い場合は、安全を考慮して大学病院を紹介することがあります。

初診「個別」相談へのご案内

当院では、患者さんが抱えていらっしゃるお口のお悩みや疑問・不安などにお応えする機会を設けております。どんなことでも構いませんので、私たちにお話ししていただけたらと思います。
ご興味がある方は下記からお問い合わせください。

ご予約・お問い合わせ03-5319-1182

〒112-0006
東京都文京区小日向4-6-15
茗荷谷駅MFビル205

丸の内線「茗荷谷駅」駅ビル内

PAGE TOP